Gãy thân răng là hiện tượng thường gặp xảy ra do nhiều nguyên nhân khác nhau. Gãy thân răng gây ra cho người bệnh nhiều phiền toái về vấn đề ăn uống, sinh hoạt và thẩm mỹ. Vậy khi gãy thân răng cần phải làm gì để đảm bảo sức khỏe và nhanh khỏi? Hãy cùng tìm hiểu qua bài viết dưới đây.
Nguyên nhân gây gãy thân răng là gì?
Nguyên nhân gây ra tình trạng này có rất nhiều, trong đó, có thể kể đến một số yếu tố chủ yếu như sau:
- Thiếu canxi : Răng bị thiếu canxi sẽ không đảm bảo độ chắc khỏe, giòn và dễ gãy.

Gãy thân răng là một trong những hiện tượng thường gặp
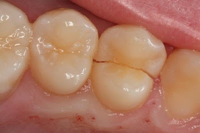
- Sâu răng: Khi vi khuẩn tấn công vào men răng, đục lỗ sâu và lan rộng dần ra, khiến men răng không chắc khỏe nữa và vỡ ra. Đặc biệt là răng hàm, nhiều trường hợp răng bị sâu nặng, có thể gãy đôi răng hàm.
- Chấn thương: Do va đập, tai nạn cũng khiến cho răng dễ bị gãy.
Để khắc phục tình trạng gãy thân răng, bạn có thể đến trung tâm nha khoa nhờ bác sĩ tư vấn về cách khắc phục. Nếu trường hợp nặng cần nhổ bỏ thì bạn có thể nhờ bác sĩ tư vấn về cấy ghép răng Implant ở đâu tốt để phục hình lại răng.
Tác hại có thể gặp khi bị gãy thân răng
Gãy thân răng nếu không có biện pháp khắc phục nhanh chóng, bạn sẽ phải đối diện với những tác hại khá nghiêm trọng như:
- Gây đau đớn: Khi bị gãy thân răng, điều đó đồng nghĩa với việc tổ chức răng bị tổn thương, nhất là gãy răng vào đến tủy thì sẽ rất đau đớn cho người bệnh.

Nên đi khám nha khoa để khắc phục tình trạng này gây nên hậu quả
- Làm mất tính thẩm mỹ của hàm răng và khuôn mặt. Nếu không có biện pháp khắc phục sớm, các răng còn lại sẽ bị xô lệch và hàm bị tiêu hõm, gây mất thẩm mỹ nghiêm trọng cho cả hàm răng.
- Khả năng ăn nhai: Khả năng ăn nhai cũng sẽ bị giảm sút khá nhiều khi bị gãy thân răng, đặc biệt là khi gãy đôi răng hàm.
- Sức khỏe suy giảm: Vì đau đớn, không ăn uống được gì nên sức khỏe của người bệnh cũng vì thế mà suy giảm, thiếu dinh dưỡng, người gầy rộc đi.